Un perro se come 43 calcetines y sobrevive

Un Perro Se Come 43 Calcetines y Sobrevive


in duda, la naturaleza es sabia y tanto las personas como los animales tienen una gran fortaleza física. Un perro se ha convertido en protagonista por la curiosa noticia que ha protagonizado al haberse comido 43 calcetines para sorpresa del equipo de veterinarios que intervino en la operación.

Los veterinarios se percataron de que había algún cuerpo extraño en el estómago del animal pero cuando descubrieron de qué se trataba se sorprendieron de forma notable ya que además, se trata de un caso poco frecuente.

Un caso poco frecuente

El perro Gran Danés se había tragado 43 calcetines y fue ingresado en la la clínica veterinaria de Portland (Oregón). El animal tenía la costumbre de masticar calcetines, una manía de la que se habían percatado varias personas pero de lo que no se daban cuenta es de que el animal se los tragaba.

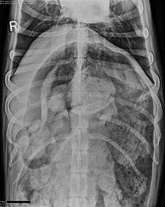
"Los rayos X descubrieron una gran cantidad de material extraño dentro del estómago del perro, y se decidió operarlo para extraer todo el material” explica uno de los veterinarios. Sin embargo, "para gran sorpresa de todos, el material extraño resultó ser 43 calcetines. El perro se recuperó perfectamente y fue dado de alta al día siguiente".

Afortunadamente, y a pesar del gran susto, el perro se ha recuperado perfectamente de lo ocurrido y de hecho recibió el alta médica al día siguiente. Los veterinarios que operaron al animal afirmaron que se trata del caso en el que más cantidad de calcetines se ha retirado del estómago de un perro.

Radiografía del estómago del animal

A continuación, puedes ver la imagen de la radiografía del estómago del animal con todos los calcetines en su interior. Está claro que comer calcetines no es nada saludable en el menú de nadie. Pero lo más importante es que este entrañable animal se ha recuperado completamente.

Un Perro Se Come 43 Calcetines y Sobrevive


Foto – SCHNAUZI

  

Artículos relacionados:

 
Calcetines que curarán las heridas

El perro más alto del mundo

Un perro que no quiere dejar la tumba de su dueño

  

Fuente: este post proviene de CuriosidadesCuriosas_Com, donde puedes consultar el contenido original.
¿Vulnera este post tus derechos? Pincha aquí.
Modificado:
¿Qué te ha parecido esta idea?

Esta idea proviene de:

Y estas son sus últimas ideas publicadas:

Recomendamos